skip to main content

Teknik Anestesia Epidural Dalam Operasi Herniotomi pada Pasien Atrial Septal Defect dengan Hipertensi Pulmonal

Departemen Anestesiologi dan Terapi Intensif, Fakultas Kedokteran, Universitas Udayana/RSUP Prof. Dr. I.G.N.G Ngoerah, Denpasar, Indonesia

Received: 29 Aug 2023; Revised: 8 Nov 2023; Accepted: 9 Nov 2023; Available online: 17 Nov 2023; Published: 30 Nov 2023.
Open Access Copyright 2021 JAI (Jurnal Anestesiologi Indonesia)

Citation Format:
Cover Image
Abstract

Latar Belakang: Atrial septal defect (ASD) merupakan kelainan jantung asianotik yang paling sering terjadi, sekitar 10% dari pasien dewasa dengan kelainan jantung kongenital. Atrial septal defect (ASD) di klasifikasikan menjadi 4 tipe berdasarkan bagian atrium septum yang gagal terbentuk, yaitu ostium sekundum (85%), ostium primum (10%), sinus venosus (5%) dan defek koronari sinus (jarang).

Kasus: Laki laki usia 55 tahun dengan kasus hernia inguinalis lateralis dekstra reponible dengan ASD dan hipertensi pulmonal derajat sedang. Pasien dilakukan insersi epidural kateter di L4-L5 setelah di konfirmasi dengan loss of resistance dengan saline dan test dose. Regimen epidural yang diberikan bupivacaine 0,25% + lidocaine 1% volume 10 mL. Intraoperatif diberikan titrasi norepinephrine dengan dosis titrasi 0,15-0,3 mcg/kgBB/menit dan tirasi dobutamine 2,5-5 mcg/kgBB/menit. Pengobatan postoperatif analgesia pengobatan epidural bupivacaine 0,0625% + morfin 0,5 mg volume 10 mL tiap 12 jam, dan parasetamol 500 mg tiap 6 jam tablet untuk obat analgesia.

Pembahasan: Teknik anestesi epidural dipilih karena memiliki onset yang lebih lama dan hemodinamik variasi yang lebih kurang dibandingkan dengan teknik anestesi spinal atau kombinasi teknik spinal-epidural. Sedangkan teknik general anestesi tidak dipilih karena berisiko terhadap resistensi vaskular pulmonal dan dapat mengubah arah shunting. Prinsip dari penanganan ASD adalah untuk mempertahankan cardiac output dan menghindari adanya penurunan dari resistensi sistemik vaskular. Mempertahankan resistensi sistemik vaskular berdsarkan dengan mean arterial pressure sehingga menghindari adanya perubahan arah shunt.

Kesimpulan: Pada laporan kasus ini dapat kami simpulkan bahwa teknik anestesi epidural dapat diterapkan secara aman pada kasus herniotomi dengan komorbid ASD dengan hiperetensi pulmonal.

Note: This article has supplementary file(s).

Fulltext View|Download |  Research Instrument
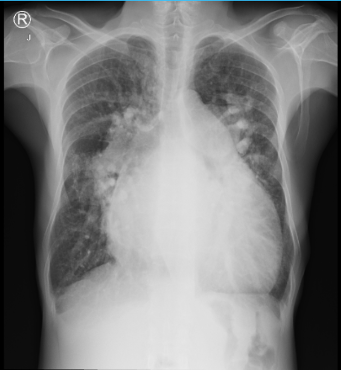
Gambar Xray pasien
Subject
Type Research Instrument
  View (371KB)    Indexing metadata
 Research Instrument
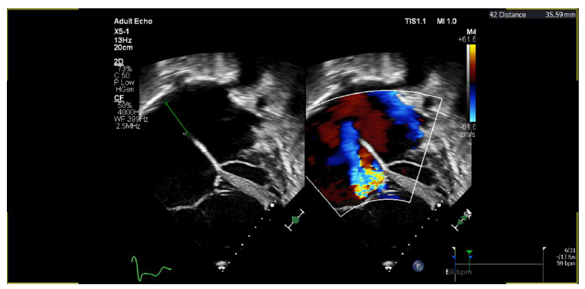
Gambar Echo pasien
Subject
Type Research Instrument
  View (223KB)    Indexing metadata
 Research Instrument
Gambar EKG pasien
Subject
Type Research Instrument
  View (70KB)    Indexing metadata
 Research Instrument
Surat Aplikasi
Subject
Type Research Instrument
  Download (22KB)    Indexing metadata
 common.other
CTA
Subject
Type Other
  Download (282KB)    Indexing metadata
Email colleagues
Keywords: atrial septal defect; epidural; herniotomi; hipertensi pulmonal; penyakit jantung asianotik

Article Metrics:

  1. Yen P. ASD and VSD flow dynamics and anesthetic management. Anesthesia Progress. 2015 Jul 22;62(3):125–30. doi: 10.2344/0003-3006-62.3.125
  2. Madaan V, Gupta R. Anaesthetic management of a case of large ASD with severe pulmonary hypertension—case presentation. Ain-Shams Journal of Anesthesiology. 2022;14(1):1–4. doi: 10.1186/s42077-022-00232-3
  3. Bolabandi R, Akash S, Bagalkotkar N. Anesthetic management of a parturient with large atrial septal defect and mild pulmonary hypertension. Medical Innovatica. 2019 Jul 1;8(1):37–40
  4. Kone, J. (2015) ‘Anesthetic management of an atrial septal defect in adult-case report’, Journal of Anesthesia & Critical Care: Open Access, 3(5), pp. 1–2. doi: 10.15406/jaccoa.2015.03.00112
  5. Diaconu , C. (2011) ‘Atrial Septal Defect in an Elderly Woman a Case Report ’, Journal of Medicine and Life, 4(1), pp. 91–93. Available at: https://www.ncbi.nlm.nih.gov/pmc/articles/PMC3056427/ (Accessed: 26 August 2023)
  6. Bengali, R. (2015) ‘Epidural anesthesia for cesarean section in atrial septal defect with pulmonary hypertension’, Journal of Evolution of Medical and Dental Sciences, 4(57), pp. 10007–10009. doi: 10.14260/jemds/2015/1446
  7. Karaaslan, E. (2017) ‘Emergency cesarean ın a patıent WITH atrıal septal defect’, Eastern Journal Of Medicine, 22(4), pp. 218–220. doi: 10.5505/ejm.2017.25238
  8. Gupta, B. et al. (2016) ‘Incremental epidural anaesthesia for emergency caesarean section in a patient with ostium secundum atrial septal defect and severe pulmonary stenosis with right to left shunt’, Indian Journal of Anaesthesia, 60(5), pp. 363–364. doi: 10.4103/0019-5049.181613
  9. Park, Y. and Kim, J. (2020) ‘Anesthetic management of a patient with large atrial septal defect undergoing laparoscopic cholecystectomy: A case report’, Saudi Journal of Anaesthesia, 14(2), pp. 249–252. doi: 10.4103/sja.sja_638_19
  10. Kumar B, Soni S, Jafra A. Anesthetic management of double atrial septal defect with moderate pulmonary hypertension emergency caesarean section. Journal of Anesthesia & Clinical Research. 2019;10(2). doi: 10.4172/2155-6148.1000876
  11. Post MC. Association between pulmonary hypertension and an atrial septal defect. Netherlands Heart Journal. 2013;21(7–8):331–2. doi: 10.1007/s12471-013-0432-9
  12. Cannesson M, Earing MG, Collange V, Kersten JR, Riou B. Anesthesia for noncardiac surgery in adults with congenital heart disease. Anesthesiology. 2009;111(2):432–40. doi: 10.1097/aln.0b013e3181ae51a6
  13. Rajagopal S, Ruetzler K, Ghadimi K, Horn EM, Kelava M, Kudelko KT, et al. Evaluation and management of Pulmonary Hypertension in noncardiac surgery: A scientific statement from the American Heart Association. Circulation. 2023;147(17):1317–43. doi: 10.1161/cir.0000000000001136
  14. Bennett JM, Ehrenfeld JM, Markham L, Eagle SS. Anesthetic management and outcomes for patients with pulmonary hypertension and intracardiac shunts and Eisenmenger Syndrome: A Review of Institutional experience. Journal of Clinical Anesthesia. 2014;26(4):286–93. Doi: https://doi.org/10.1016/j.jclinane.2013.11.022
  15. Omair D, Padmanabha S. Anaesthetic management of a patient with Atrial Septal Defect with Pulmonary Hypertension posted for Total Abdominal Hysterectomy: a Case Report. IOSR Journal of Dental and Medical Sciences (IOSR-JDMS). 2014 Aug;13(8):1–3. doi: https://doi.org/10.9790/0853-13830103

Last update:

No citation recorded.

Last update: 2026-04-01 11:15:17

No citation recorded.